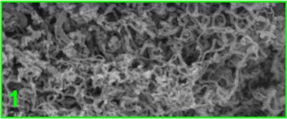
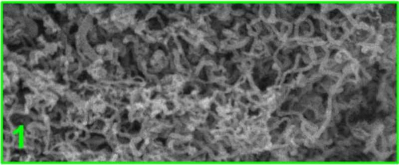
Figure 1 illustrates a vapor deposition bonding of hydrophilic OPEN ended carbon nanotubes measured to be only 20 to 150-nm (nanometer = 1-billionth of a meter) grown onto the surface of carbon fibers in FIGURE 3 with a carbon-carbon bond at a space of 20 to 100-microns, which illustrates carbon fiber monolith without nanotubes applied providing an electric-thermal connection between carbon fibers, a monolithic electrode. Figure 2 illustrates a closeup view of View of FIGURE 1 with nanotubes added multiplying the surface area providing the GREATEST surface area of carbon monolith providing a monolith electrically and thermally connected. A breakthrough!
These carbon fiber monoliths are more efficient to heat and do not require prior art screens and tanks to contain the adsorption materials (adsorbates). Gas adsorption like natural gas or hydrogen do NOT require a HIGH-pressure tank to transport a gas and it ONLY takes 1-millionth of a volt to start desorbing the gas adsorbed on the carbon monolith. SAFETY is provided to any application. Activated carbon fiber has a strong attraction to carbon dioxide and a surface area greater than 1000 m2/g. Carbon fibers can be activated for a wide range of molecules.
Electrochemical cell application: Electrochemistry, Electrochemical engineering, Electrolysis, Hydrogen production (two carbon monolith decompose water), Noryl, Gas cracker, Photocatalytic water splitting, and Water purification are all advanced in operation when applying the nanotubes carbon-carbon bonded to carbon fiber monolith where carbon fibers are carbon-carbon bonded, designed to adsorb water into and onto the nanotube for water adsorption and desorption making heat pumps, water decomposer, filter, desalination or other products.
Electric-Swing Flash-Desorption of the carbon fiber filled with adsorbates forces the piston and cylinder away from each other, which replaces electric motors and internal combustion engines when the motion of the pistons and cylinders are linked on a crankshaft.
Batteries and any other application requiring a electric circuit, anode, or cathode can apply this monolith.
Batteries by application: Automotive battery, Backup battery, Battery (vacuum tube), Battery pack, Battery room, Battery storage power station, Biobattery, Button cell, CMOS battery, Common battery, Commodity cell, Electric vehicle battery, Flow battery, Home energy storage, Inverter battery, Lantern battery, Nanobatteries, Nanowire battery, Local battery, Polapulse battery, Photoflash battery, Reserve battery, Smart battery system, Watch battery, Water-activated battery, Wet cell, and Zamboni pile.
Hollow rotary wings can fill with air and then release air where optimization of flight is desired.
Electric Power Produced By Adsorption and Saved for Demand by Valving Desrorbed Adsorbate from the Adsorbent Until Wanting The Power:
A charging system spraying positively charged particles, insulated from earth, against direction of an electric field by wind pushing positively charged particles away from a negative electrode into the positive electrode increases the positive charge of the particle landing on the positive electrode, producing electric power.
Collector potential energy is released at a collector.
In prior art Delft Technical University researchers Johan Smit and Dhiradj Djairam invented EWICON (short for Electrostatic WInd energy CONvertor) creates potential energy with charged particles in open air.
Like this entry?
-
About the Entrant
- Name:David Zornes
- Type of entry:individual
- Software used for this entry:Rhino
- Patent status:patented


